|
1歳過ぎで複数回の夜間授乳のある方へ
1歳を過ぎて母乳を与えていると、歯にむし歯が出来ることがあります。
あまり頻度は多くありませんが、母乳だけが原因だろうと思えるケースもあります。
それはどのような場合できるむし歯で、どうすればむし歯になり難いのかもお話しします。
0歳児で母乳しか飲んでいなければ、むし歯になることはほぼゼロと言っていいと思います。
しかし、6カ月を過ぎると離乳食というものが入ってきます。
どのような離乳食を食べているか、どのような食べ方をしているかで、離乳食と母乳でもむし歯になることも稀にあります。
0歳児は夜間就寝中でも、わずかですが唾液の流れがあるので、むし歯になりにくい環境が備わっています。
しかし1歳を過ぎると、夜間の唾液の流れが少なくなるため、むし歯になる危険が少し増してきます。
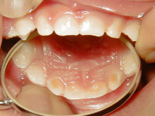
1歳から1歳半までの間、唾液の流れの少ない状態で夜間母乳が入ると、上の前歯の裏側に乳汁が停滞してその場所からむし歯が出来てくると考えています。
夜間授乳が1回程度なら、被害の程度も軽症なので、再石灰化してむし歯にまで進むことはありません。
しかし、3~4回以上の回数の夜間授乳があると、再石灰化が追い付かずむし歯になってしまいます。
市販のお菓子や飲料を与えていないお子さんにでも、このようなむし歯が出来てしまうことがあるのです。
ではどうすればいいのか
夜間起きて来ないで済むように工夫する。
例えば、昼間に外遊びをすると疲れて夜はよく寝てくれると思います。
昼間の授乳の時は、一回にしっかり母乳をよく飲ませてあげると、夜間起きて来ずに済むようになります。
どうしても数回の夜間授乳を止められないときは
おっぱいを飲んで寝入ってしまえば、乳首を早めに子どもの口から離す。
そうすれば、乳汁が上の前歯の裏側に停滞する時間を短くすることができ、むし歯にならずに済むかもしれない。。
メニューに戻る
|