園や学校内で児童が歯に損傷を受けた際の対応について

ビーバー小児歯科 俵本寛志

 園児や児童が、友達とぶつかった、転んで歯を打った、体育の授業中に歯を打って抜けてしまったなど、園や学校内で子どもたちが歯に損傷を受けることが時々あります。

そのときの対応によっては、残せたかも知れない歯でもだめになることもあります。

どのような対応をすれば、子どもの歯を守ることが出来るのか、一応の目安を示しておきます。

1)軽症の場合

ほんの少しぶつけただけで、歯のぐらつきも無く歯ぐきからの出血もなければ、出来るだけ早めの歯科の受診をお勧めしますが、緊急を要するものとは思われないことが多い。

しかし歯が根の部分で折れていたり、歯の神経が切れていることもあります。必要ならレントゲンを撮り、確認することもあります。1~2週間後に歯の色が褐色に変わってくることもあります。このようになれば、神経の治療が必要です。

学校の対応:受傷後は打った歯で、できるだけ物を噛まないようにし、速やかに歯科を受診させる。

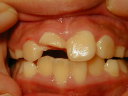
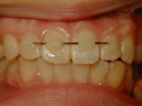
2)中程度の被害

打った歯がぐらついていたり、歯ぐきからの出血がある場合は、歯を固定する必要があると思われます。固定をしながら歯の色が変わってこないか、経過を観察します。色が変わるようなら、神経の治療をします。

学校の対応:軽症の場合と同様ですが、さらに次のことにも留意するといい。

歯が欠けることもありますが、欠けた歯があればそれを残しておくこと。欠けた部分をくっ付けることが出来る場合もあります。もちろん欠け方によっては、くっ付けるのが無理なこともあります。欠けた部分も、乾燥させないようにする。

3)重症のケース

歯が大きく破折し、神経が露出した場合。

歯が抜け落ちてしまった(脱落)場合。

歯が中に陥没してしまった場合。

この3つのケースでは、1)、2)のときよりさらにすばやい対応が必要です。

抜けた歯でも、早ければ再殖して歯を残せることもあります。

脱落、陥没の時は、30分以内が理想的ですが、どうしても無理な場合でも出来るだけ早く受診すること。

学校の対応:歯が抜けたときは、抜けた歯を探し出す。歯に泥や砂がついていれば、歯の頭の部分を持ち流水で泥を洗い流し、保存液につける。洗うときは、歯の根の部分を持ったりこすってはいけない。保存液が無ければ、牛乳か水につけておき、決して乾燥させてはいけない時間との勝負で、遅れると再殖しても付かないことが多い。受傷後直ちに歯科医院に連絡をし、治療の準備をしておいていただくと処置がスムーズに行えるでしょう。

日ごろから、どこの歯科医院がこのような処置をしてくれるかを、調査しておくことも必要でしょう。


   打撲歯の変色                             結紮固定                                      歯の破折、神経露出

変色 結紮 歯髄露出 破折歯

                         メニューに戻る